KRT7-specific antibody

别称:Keratin antibody, type II cytoskeletal 7|Cytokeratin-7 (CK-7)|Keratin-7 (K7)|Sarcolectin|Type-II keratin Kb7|KRT7|SCL antibody
货号:FNab02220反应性:Human
宿主:Rabbit验证实验:ELISA, WB, IF, IP, IHC
克隆性:polyclonal亚型:IgG
规格 价格
100μg RMB ¥2100
50μg RMB ¥1260
货期: 三个工作日+顺丰快递时长
  • 产品介绍
  • 实验结果
  • 实验条件
  • 常见问题
产品名称
KRT7-specific antibody
货号
FNab02220
规格
100μg
状态
liquid
纯化方法
Immunogen affinity purified
纯度
≥95% as determined by SDS-PAGE
克隆性
polyclonal
亚型
IgG
存储
PBS with 0.02% sodium azide and 50% glycerol pH 7.3, -20℃ for 12 months(Avoid repeated freeze / thaw cycles.)
免疫原信息
免疫原
keratin 7
别称
Keratin antibody, type II cytoskeletal 7|Cytokeratin-7 (CK-7)|Keratin-7 (K7)|Sarcolectin|Type-II keratin Kb7|KRT7|SCL antibody
UniProt ID
P08729
分子量
54 kDa
验证实验
验证实验
ELISA, WB, IF, IP, IHC
建议稀释比例
WB: 1:500-1:2000; IP: 1:500-1:1000; IHC: 1:20-1:200; IF: 1:50-1:500
验证图片
mouse liver tissue were subjected to SDS PAGE followed by western blot with FNab02220(KRT7-specific antibody) at dilution of 1:500
IP Result of anti-Cytokeratin 7-specific (IP:FNab02220, 4ug; Detection:FNab02220 1:500) with mouse liver tissue lysate 4000ug.
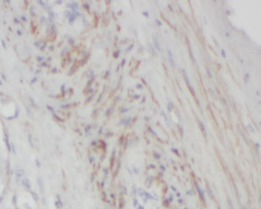
Immunohistochemistry of paraffin-embedded human placenta using FNab02220(KRT7-specific antibody) at dilution of 1:100
抗体可以回收利用几次?

一般抗体不推荐回收利用,抗体使用之后缓冲体系已经发生改变,不同客户在回收抗体的保存条件上也会有差异,所以抗体回收使用效果无法保证。

FineTest公司也做过一批抗体回收验证测试,测试结果显示不同抗体可回收次数不同,一般效价越高的抗体,可重复使用的次数越多,客户可根据实验情况来确定。

注:我们将孵育完毕后剩余的抗体回收到离心管中置于4℃保存,效价高的抗体可至少保存1周,重复利用3次左右。

FineTest公司抗体buffer成分是什么?

FineTest抗体成分一般是PBS含proclin300或sodium azide、BSA、50%甘油;也有一些是PBS含proclin300或sodium azide,50%甘油。防腐剂proclin300或sodium azide是常用的防腐剂,广泛应用于实验室和工业中。

FineTest公司抗体的保存温度和时间?

大部分抗体是放在-20℃保存,直标流式抗体需要放在2-8℃保存,质保期一年,质保期内抗体出现售后,可进行退货或换货。

一般抗体超过一年质保期仍旧可以使用,我们可以提供技术支持服务。

FineTest公司抗体使用需要稀释吗?用什么溶液稀释?

除了直标流式抗体为即用型,不用稀释。其他抗体一般为浓缩型,使用时需要按照说明书建议稀释比例稀释。

不同实验使用的稀释液不同,用PBST, TBST, 抗体封闭液等常用抗体稀释液均可。

免疫组化实验抗体的修复方式?

常用修复液:Tris-EDTA缓冲液(Tris-EDTA Buffer, pH 9.0);柠檬酸盐缓冲液(Citrate Buffer, pH 6.0)

热修复:

方法1:沸水浴修复,将盛有修复液和玻片的烧杯置于沸水浴环境,保持外部沸腾状态15min,自然冷却至室温;

方法2:微波修复,将盛有修复液和玻片的烧杯置于微波炉中,高火5min,停火3min,中火5min,自然冷却至室温。

如何选择二抗?

(1)二抗是和一抗反应的,所以二抗必须是抗一抗宿主物种,比如一抗来源于兔,对应二抗则选择抗兔二抗,比如羊抗兔或驴抗兔。

(2)根据实验类型选择二抗偶联物,比如做ELISA, 蛋白质印迹,IHC实验,常用酶联二抗,如HRP,AP等标记。而免疫荧光实验,流式细胞术实验中,则用荧光蛋白或染料标记,比如FITC,Cy3等。

产品对比